


Die altersbedingte Makuladegeneration ist die häufigste Erblindungsursache bei Menschen im Alter von über 50 Jahren in den Industrienationen. Die Bezeichnung „altersbedingt“ weist auf das Lebensalter als größten Risikofaktor neben Rauchen und genetischer Belastung hin.
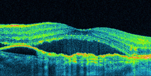
Im Gegensatz zur trockenen (atrophen) Form, die meist nur langsam und schleichend voranschreitet und für die es keine kausale Heilungsmöglichkeit gibt, handelt es sich bei der feuchten (exsudativen) Makuladegeneration um eine Form, die schnell zur Leseblindheit führt. Mittels Fluoreszenzangiographie und optischer Cohärenztomographie (OCT) lassen sich die einzelnen Formen darstellen und klassifizieren.
Als aktueller Therapiestandard zur Behandlung der feuchten Form gilt die Injektion von Wachstumsfaktorhemmern in den Glaskörper (intravitreale operative Medikamentengabe, IVOM).
Augenärztliche Diagnostik und Therapie
Operationen und Laserchirurgische Eingriffe
Vorsorgeuntersuchungen
Bahnhofstr. 7-9, 79206 Breisach am Rhein
Tel: 07667–7766 - Fax: 07667–7729
www.grueb.eu - praxis@grueb.eu
Montag, Dienstag und Donnerstag
08:00–16:00 Uhr
und nach Vereinbarung
